

Book your New Patient Checkup for just £37.50 and take advantage of our latest special offer!
Here is what is included:
A Comprehensive Dental Check-Up
2 Dental X Rays
15% off Any Treatment Booked
Affordable Financing
We are currently not accepting NHS patients




Whether it's been months or years since your last visit, we're here to help you feel comfortable, informed, and fully supported.

This £37.50 new patient offer is ideal for you if:
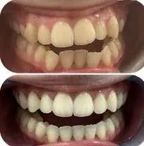
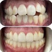
Real patient transformations that restore confidence in your smile



We know the dentist can feel daunting. These frequently asked questions are here to help you feel more informed.
We take extra time with nervous patients and never judge. You’ll feel listened to, not rushed or pressured.
Not at all. We’ll share honest advice — and if you decide to move forward with treatment on the day, you’ll get 15% off.
Please don’t be. We’re here to help, not to judge. We’re always focused on what we can do to help you move forward with confidence.
No. This is a private patient offer, designed to give you access to high-quality dental care at an affordable starting price.
We’re Local, Friendly, and Ready to Help